荆楚网(湖北日报网)讯(通讯员 皮闻森)近日,宜昌市中心人民医院脊柱外科团队成功完成一例颈椎重度椎管狭窄合并椎间盘、韧带重度钙化患者的神经减压手术(ACDF手术)。术中,医生在全市率先应用4K3D超高清外视手术显微镜,凭借深厚的复杂颈椎手术经验与先进设备“强强联合”,实现了对脊髓神经的精准、快速减压。这不仅是一次技术的突破,更是宜昌脊柱外科“硬实力”的又一次有力证明。
40岁家庭支柱,脊髓被“压成面条”
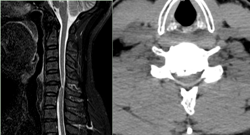
40岁的吴先生(化名),因长期四肢麻木、走路踩棉花感、双手精细动作障碍入院,近一个月症状急剧加重。影像学检查显示:第5、6颈椎间隙重度狭窄,合并椎间盘及后纵韧带重度钙化,脊髓被挤压得“卡到极限”,随时有瘫痪加重的风险。吴先生怀着对瘫痪的恐惧多方求医,最终慕名来到宜昌市中心人民医院。
脊柱外科主任赵红卫教授接诊后,详细告知吴先生脊髓型颈椎病的危害及手术必要性,坚定地告诉他:“我们中心医院脊柱外科有能力解决你的问题。”吴先生终于放下了心中的巨石。



硬核实力+前沿科技,让“不可能”变成“精准安全”
由赵红卫主任和病区主任陈海丹带领的医生团队详细检查和讨论研究后,决定首次在宜昌市颈椎手术中引入4K3D超高清外视手术显微镜系统。
该系统的优势在于:米级大工作距+4K3D高清成像,智能操控让手术更安全高效。 但设备再先进,也只是“利器”,真正决定手术成败的,是操作它的“人”。宜昌市中心人民医院脊柱外科团队常年处理各类复杂颈椎病所练就的扎实解剖功底、精准手术技巧和丰富应急经验,才能发挥这一前沿科技的优势,从而在如此高难度的钙化分离中做到既彻底减压,又安全保神经。




手术次日下床,重燃生活希望
在3D外视显微镜的全程引导下,肖运祥主任医师、皮闻森医师治疗组完整切除钙化灶、彻底减压脊髓及神经根。术后即刻,吴先生自觉“手脚轻松”,术后第二天肌力明显改善,无脑脊液漏、神经损伤等任何并发症,成功避免了瘫痪的厄运。
常年攻坚疑难颈椎病:宜昌脊柱外科的“压舱石”
此次宜昌市首例3D外视显微镜下ACDF手术的成功,为宜昌及周边地区复杂颈椎病患者提供了“保神经、减创伤、快康复”的全新治疗选择,先进设备助力手术更安全、更快速、患者康复更顺利。
作为宜昌地区脊柱疾病诊疗的领航者,宜昌市中心人民医院脊柱外科常年承担着全市及周边地区大量疑难、复杂、高风险颈椎病的救治工作。从多节段脊髓型颈椎病、后纵韧带骨化(OPLL),到颈椎畸形、翻修手术、颈椎肿瘤等,科室积累了极为丰富的手术经验和深厚的技术沉淀。今后,脊柱外科将继续逐步推广3D外视显微镜技术至脊柱肿瘤、颅颈交界区畸形等更复杂领域,真正实现‘复杂手术,镜下从容,微创解决’,造福宜昌老百姓。
Copyright © 2001-2026 湖北荆楚网络科技股份有限公司 All Rights Reserved
互联网新闻信息许可证 4212025003 -
增值电信业务经营许可证 鄂B2-20231273 -
广播电视节目制作经营许可证(鄂)字第00011号
信息网络传播视听节目许可证 1706144 -
互联网出版许可证 (鄂)字3号 -
营业执照
鄂ICP备 13000573号-1
鄂公网安备 42010602000206号
版权为 荆楚网 www.cnhubei.com 所有 未经同意不得复制或镜像